
Birmingham
0121 573 0392
9.00 AM - 6.00 PM


FREE Consultation
FREE Smile Simulation
FREE Post-Treatment Teeth Whitening
FREE Consultation
FREE Smile Simulation
FREE Post-Treatment Teeth Whitening








Personalised Assessment – Your dentist or orthodontist will examine your teeth, bite, and overall oral health to determine if Invisalign is the right solution for you.
Digital Scans & Photos – Advanced 3D imaging or impressions are taken to create a precise digital model of your teeth.
Smile Preview – Using Invisalign’s software, you’ll be able to see a step-by-step simulation of how your smile could transform during treatment.
Customised Treatment Plan – Your dentist will outline the recommended timeline, number of aligners, and projected results based on your specific needs.


Personalised Assessment – Your dentist or orthodontist will examine your teeth, bite, and overall oral health to determine if Clear Aligners are the right solution for you.
Digital Scans & Photos – Advanced 3D imaging or impressions are taken to create a precise digital model of your teeth.
Smile Preview – Using our iTero software, you’ll be able to see a step-by-step simulation of how your smile could transform during treatment.
Customised Treatment Plan – Your dentist will outline the recommended timeline, number of aligners, and projected results based on your specific needs.
Discreet Appearance
Comfortable Fit
Removable & Convenient
No Food Restrictions
Better Oral Hygiene
Predictable Results
Discreet Appearance
Comfortable Fit
Removable & Convenient
No Food Restrictions
Better Oral Hygiene
Predictable Results

Detailed 3D scans of your teeth and gums – for a clear, accurate view of your oral health.
Personalised treatment planning – tailored to your unique smile and anatomy.
Enhanced precision and accuracy – reducing risks and improving outcomes.
Predictable results with greater comfort – a smoother treatment experience.





From first visit to final smile, our process is simple, supportive and focused on you.
We start with a free consultation so you can learn if Invisalign is right for you. We’ll also use this opportunity to gather a complete patient history
If you decide this treatment plan is right for you, we’ll schedule your Invisalign treatment.
Invisalign is generally more comfortable than braces. You may feel mild pressure or tightness when switching to a new set of aligners, but this usually fades within a day or two.

We believe everyone deserves to smile with confidence. That’s why we offer flexible, interest-free payment options tailored to your budget.
Our Price from
£3500
Spread the cost
0% interest options available
No need to pay at every visit
Transparent pricing – no hidden fees
We believe everyone deserves to smile with confidence. That’s why we offer flexible, interest-free payment options tailored to your budget.
Our Price from
£3500
Spread the costover up to 60 months
0% interest options available
No need to pay at every visit
Transparent pricing – no hidden fees

Cosmetic Dentist | 192162
BDS, MJDF RCS(Eng), PG CERT Restorative and Cosmetic Dentistry
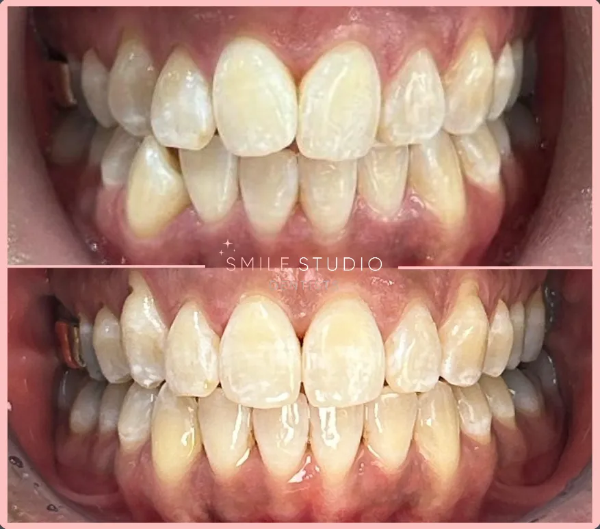
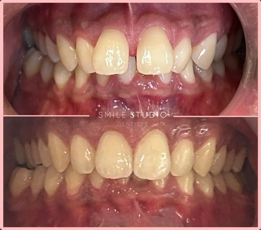
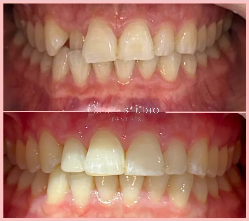
Clear aligner treatment uses a series of clear, removable aligners that are custom-made to gradually shift your teeth into their ideal positions. Each set of aligners is worn for about 1–2 weeks before moving to the next in the series.
Treatment time varies depending on your case, but most patients complete in 6–18 months. Your dentist will give you a personalised timeline during your consultation.
Yes! You simply remove your aligners when eating or drinking anything other than water. This means you can still enjoy all your favorite foods without restrictions.
Aligners are generally more comfortable than braces. You may feel mild pressure or tightness when switching to a new set of aligners, but this usually fades within a day or two.
Still have questions?
Can’t find the answer you’re looking for? Please reach out to our friendly team.

Have a question about your Invisalign treatment? We've answered the most common questions below.
Still have questions?
Can’t find the answer you’re looking for? Please reach out to our friendly team.
Clear Aligners use a series of clear, removable aligners that are custom-made to gradually shift your teeth into their ideal positions. Each set of aligners is worn for about 1–2 weeks before moving to the next in the series.
Treatment time varies depending on your case, but most patients complete the course in 6–18 months. Your dentist will give you a personalised timeline during your consultation.
Yes! You simply remove your aligners when eating or drinking anything other than water. This means you can still enjoy all your favorite foods without restrictions.
Aligners are generally more comfortable than braces. You may feel mild pressure or tightness when switching to a new set of aligners, but this usually fades within a day or two.

We would love to hear from you, please reach out to us anytime!
Call us
Email us
Get an appointment
We would love to hear from you, please reach out to us anytime!
Call us
Email us
Get an appointment

Your trusted local teeth straightening experts, speak to us about our long term solutions to missing teeth.
All rights reserved 2026
Visit our practice
Smile Studio Dentists
First Floor, 161 High St,
B65 0DX

Visit our practice
Smile Studio Dentists
First Floor, 161 High St,
B65 0DX
Your trusted local Invisalign experts, speak to us about our long term solutions to missing teeth.
All rights reserved 2025